No more traveling to big cities for the BEST and LATEST innovation in custom, no prep, and completely natural-looking veneers.When you think of ultra-natural, high-end porcelain veneers, your mind probably jumps to traveling to places like Beverly Hills or New York for the best results.
But here’s the thing—you don’t have to leave Spokane to get that level of care anymore.
At NorthView Family Dental, we’re bringing that big city veneer experience home, with a modern, minimally invasive approach that’s changing the game for smile transformations available in Spokane.
Wait… Veneers Without Shaving Down My Teeth?
Let’s get right down to the biggest “Veneer Fear”.
Traditional veneers often require significant “prepping,” meaning your natural teeth are shaved down to make room for the porcelain. That’s what makes a lot of people hesitate. We want to keep as much of our original tooth structure as possible!

Our approach? Totally Different.We offer high-end porcelain veneers that require little to no prep in many cases. That means:
Preserving your natural tooth structure
Less sensitivity
A more comfortable process
And results that still look insanely natural
It’s the kind of technique you’d expect from top cosmetic dentists in major cities—but it’s happening right here in Spokane.
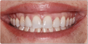
Real Instant, Real Natural ResultsWe could talk all day about how great these veneers are… but honestly, the results speak for themselves.
Our before-and-after smile gallery shows real patients who went from:
Chipped or uneven teeth
Gaps and discoloration
Worn or aging smiles
…to bright, balanced, confident smiles that still look like them…just elevated.
—> Take a look at OUR transformations here. <—
(Warning: you might start picturing your own glow-up.)
How to know, “Am I a good Candidate for Veneers?” Start Here...
You don’t need to schedule a time consuming, in-office appointment to find out if veneers are right for you.
We’ve made it ridiculously easy to get started with a free, no-pressure online consultation.
All you have to do is:
Answer two quick questions
Upload four photos of your smile
That’s it.
Dr. Leale will respond with his recommendations and you can set up an appointment whenever you’re ready!
Begin your free virtual consult HERE!
No commitment. No awkward sales pitch. Just expert feedback on what’s possible for your smile.
Why Spokane Patients Are Choosing NorthView Family Dental for their “Prepless” VeneersPeople are realizing they don’t need to include the added cost of travel to get premium cosmetic dentistry.
They want:
Natural-looking results (not bulky or fake)
Conservative treatment that protects their teeth
A team that understands both aesthetics AND function
And a process that feels easy and personalized
An easy, close, and convenient location
That’s exactly what our veneer approach delivers.
The best, high-quality veneers in Spokane.
BEFORE 
AFTER
Your Smile, Upgraded… Not ReplacedThe best cosmetic dentistry doesn’t make you look like someone else.
It makes you look like you on your best day, every day.
The Bite-Sized Summary:If you’ve ever thought about veneers but felt unsure, this is your sign to explore your options. No pressure, no commitment, just clarity.
Start your free consultation HERE!
And if you’re curious what’s possible?
Browse the smile gallery and details.
Big city results. Spokane convenience.
Your dream smile might be closer than you think.
